【Cell Metab.】肝-骨轴缺陷促进肝性骨营养不良疾病的进展
肝骨营养不良(HOD)是一种代谢性骨病,常与慢性肝病相关,以骨流失和骨质疏松为特征。全世界约有8.44亿人口,近75%有HOD,患有骨质减少或骨质疏松症。2022年3月1日,南京大学医学院蒋青教授研究团队与南京医科大学附属逸夫医院薛斌教授团队、南京医科大学李朝军教授团队、中科院深圳先进院陈棣教授团队合作(陆克博士与石天舒博士为本文共同第一作者)在Cell Metabolism上发表了文章Defects in a liver-bone axis contribute to hepatic osteodystrophy disease progression,发现在HOD的发病机制中发现了一个新的肝-骨轴,涉及肝脏PP2Acα的上调,导致肝因子卵磷脂-胆固醇酰基转移酶(LCAT)的表达减少,以及胆固醇从骨到肝脏的逆向转运缺陷。(DOI://doi.org/10.1016/j.cmet.2022.02.006)

肝脏PP2Acα的上调与HOD的严重程度相关

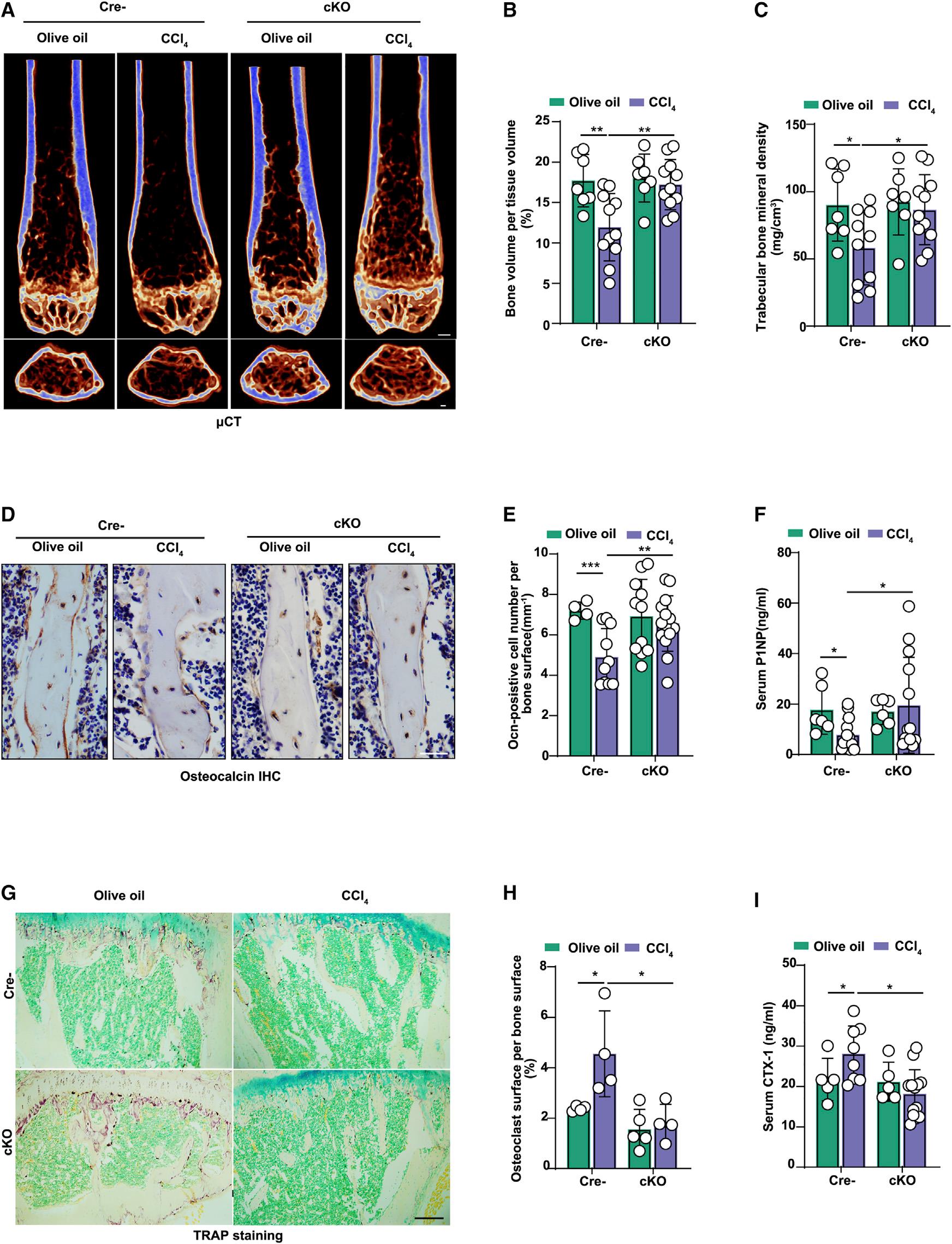
肝特异性PP2Acα缺失可改善HOD小鼠的骨质疏松

Fig.2 肝脏特异性PP2Acα缺失可改善HOD小鼠的骨丢失
肝特异性PP2Acα缺失可使LCAT表达增加,减轻HOD症状

Fig.3 PP2Acα缺失诱导的肝源性LCAT可改善HOD
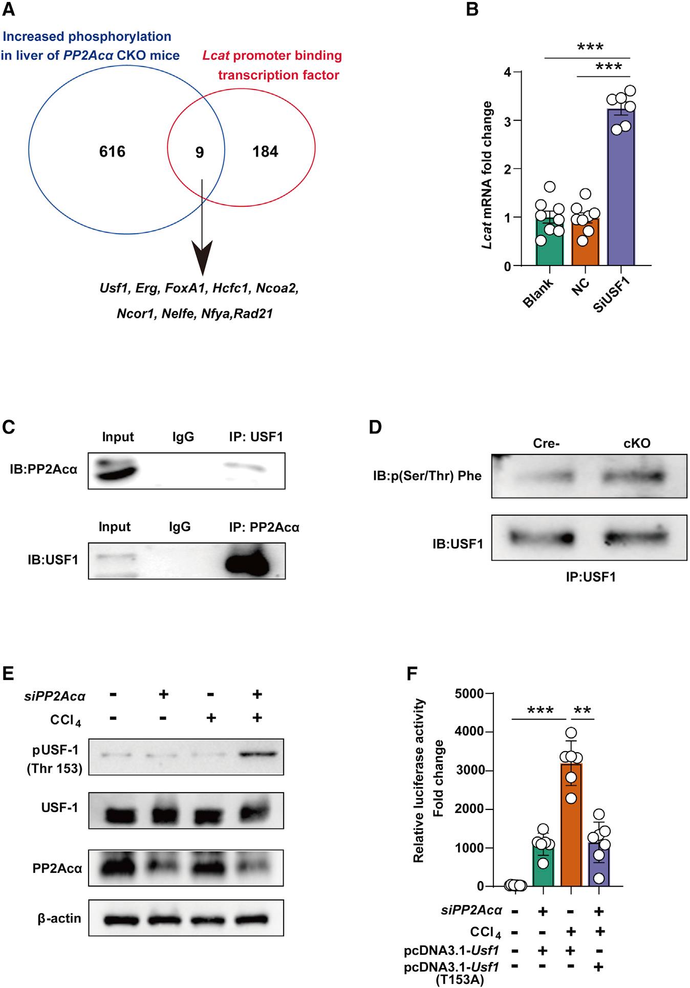
PP2Acα通过去磷酸化转录因子USF1调控LCAT的表达

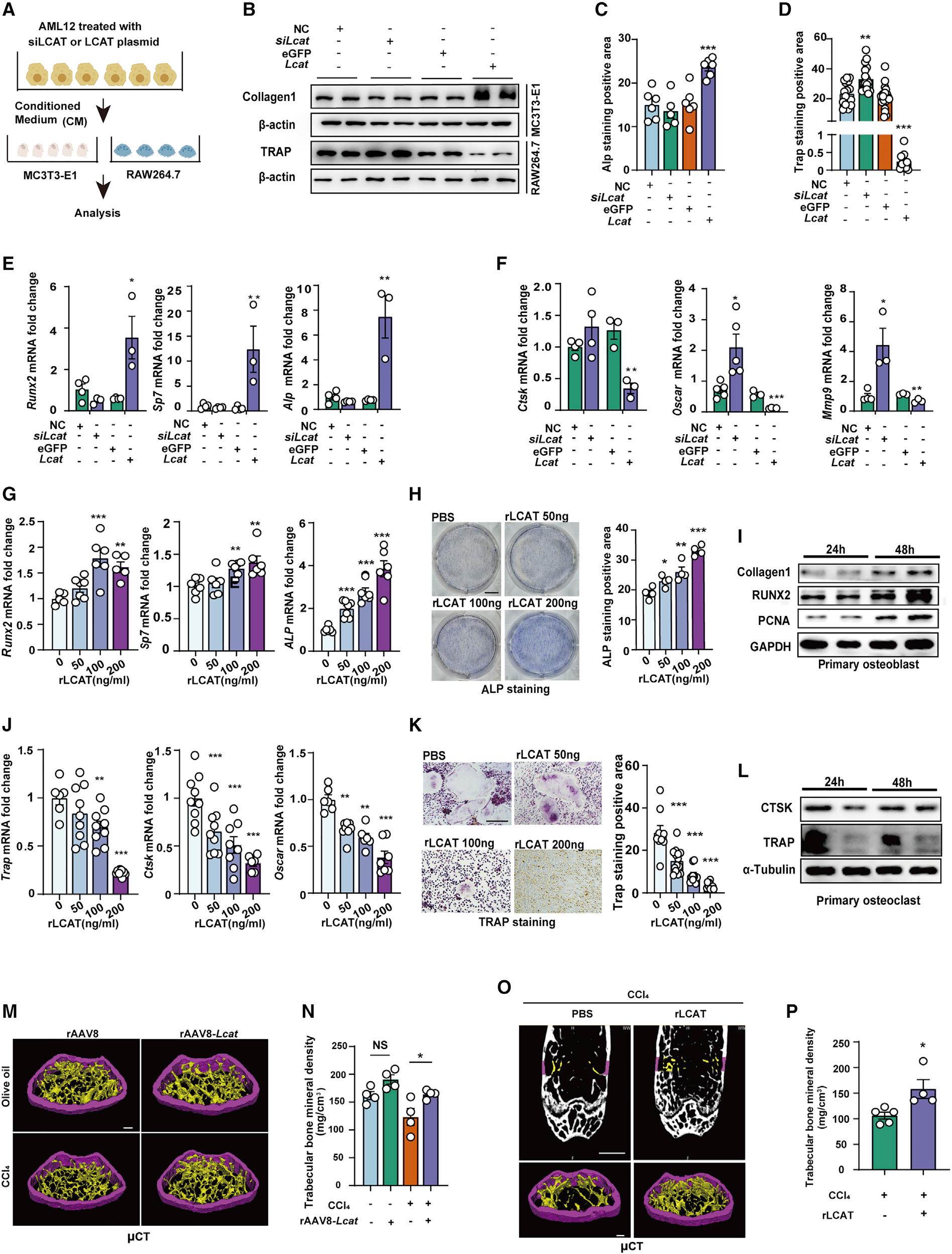
肝源性LCAT通过调节骨稳态改善HOD

LCAT维持适当的细胞内胆固醇水平,以缓解成骨细胞和破骨细胞的缺陷

Fig.6 LCAT维持正常的细胞内胆固醇水平,缓解骨组织代谢紊乱
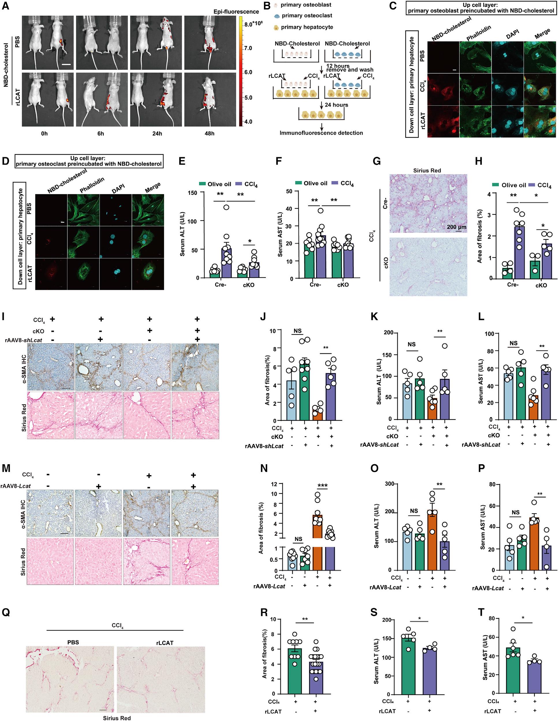
LCAT通过促进胆固醇逆向运输,有助于肝损伤HOD恢复

Fig.7 LCAT通过促进逆向胆固醇转运,促进HOD的肝脏恢复
小结
肝脏PP2Acα或血清LCAT水平可作为有用的生物标志物,以确定HOD的存在、严重程度或进展;另外肝脏PP2Acα或血清LCAT水平还可以作为一个治疗靶点,以改善HOD进展中的肝损伤和骨流失。
● 至尊国际·(中国)至尊服务,至尊享受
有幸提供研究中使用的AAV8-Lcat及AAV8-shLcat的包装服务。

扫一扫,反馈当前页面
至尊国际·(中国)至尊服务,至尊享受